• Home
  • |
  • Was ist DVT
  • |
  • Indikation HNO
  • |
  • Geräte
  • |
  • Bilderarchiv
  • |
  • Info HNO Arzt

Bilder NNH


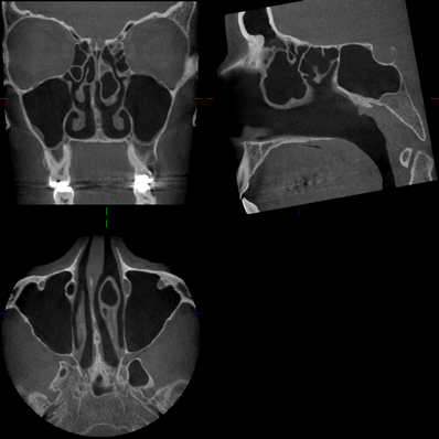
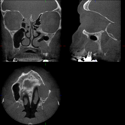
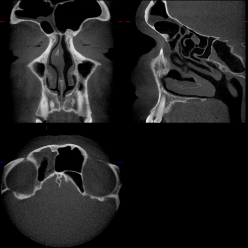
Kuhn'sche Zelle Mukozele SH Knochenneubildung Stirnhöhle sagittal Concha bullosa radikuläre Zyste

Zum Vergrößern Bild anklicken!

Bilderarchiv:
  • Ohr
  • NNH
  • 3D
  • Verschiedenes
  • Kontakt
  • |
  • Impressum