• Home
  • |
  • Was ist DVT
  • |
  • Indikation HNO
  • |
  • Geräte
  • |
  • Bilderarchiv
  • |
  • Info HNO Arzt

Bilder Ohr


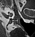
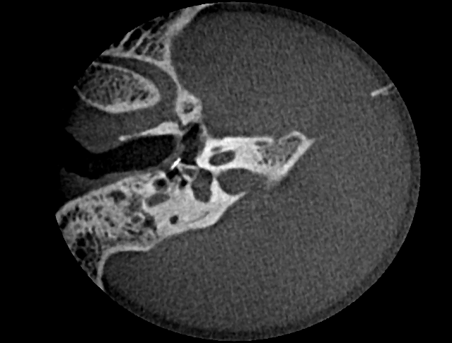
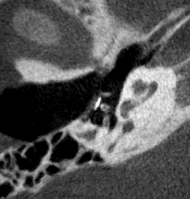
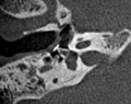
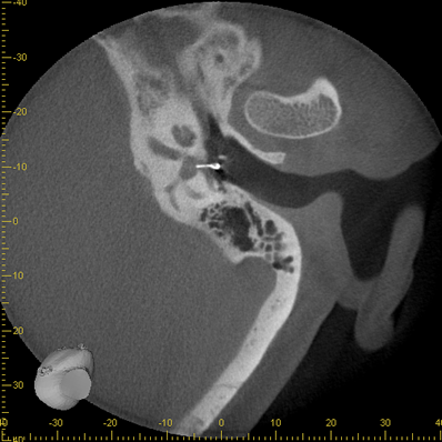
Ambossarrosion mit Stapesprothese Stapesprothese Teflon (Causse) PORP auf Stapes PORP Titan auf Stapes PORP PORP Titan disloziiert Otosklerose Otoskleroseherd TORP Pauke nicht belüftet TORP unter Knorpelinsel disl.

Zum Vergrößern Bild anklicken!

Bilderarchiv:
  • Ohr
  • NNH
  • 3D
  • Verschiedenes
  • Kontakt
  • |
  • Impressum